Soms gaat het om een gaatje in het hart, dan weer om een onvolgroeid hart, hartkamers die ontbreken of verbindingen van hart naar slagader die niet werken.. Een van de problemen die we niet hebben bij volwassenen en wel bij kinderen, is het plaatsen van een hartklep. De kunstkleppen voor volwassenen zijn te groot voor een kinderhart. We.. Het hart heeft twee kamers en twee boezems. Als er een gaatje zit in de wand tussen de twee kamers, noemen we dat een ventrikelseptumdefect of VSD. Ventrikel staat hierbij voor kamer en septum betekent gaatje. Door het gaatje stroomt er bloed van de linker- naar de rechterhartkamer. Dat bloed maakt opnieuw een rondje door het hart en de longen.

Hoe werkt het hart ? YouTube

Symptomen van een hartinfarct bij vrouwen. Hartaanval, Gezondheid en welzijn, Vrouw

Geen gaatje wordt overgeslagen Telegraph

De longen anatomie & problemen Heelkunde tielt

het hart en bloedvatenstelsel YouTube

Echografie voor gezelschapsdieren van dracht, buik en hart bij DAPZWD

Schooltv Het hart Je hart is zo groot als een vuist

Symptomen Van Hartfalen Zo Herken Je Ze My XXX Hot Girl
Ontsteking hartzakje infobron.nl

Sluiten van het gaatje in het trommelvlies (myringoplastiek) Jeroen Bosch Ziekenhuis

Gaatje in kies Symptomen, behandeling & alles wat je wil weten

Hart en vaatstelsel Wat is een Aneurysma

Hart

Lezing 20111116 hart en

Gaatjes hoe ontstaan ze en (hoe) kun je ze genezen? Beautyreview.nl

Hartinfarct (hartaanval) Slingeland Ziekenhuis
Gaatjes Cariës, wat is het en hoe is het te voorkomen?

Hart en vaatstelsel Wat is een Aneurysma
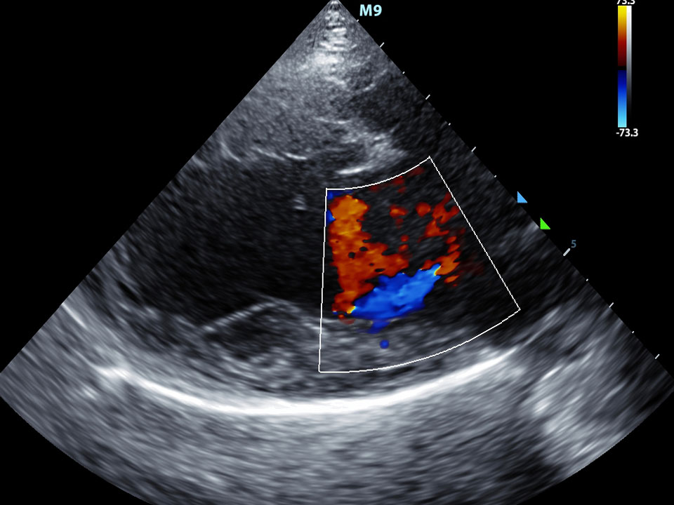
Atriumseptumdefect (ASD) Centrum aangeboren hartafwijkingen UMC Utrecht Het WKZ

3.3 werking van het hart YouTube
Bij een Ventrikel Septum Defect (VSD) zit er een opening tussen de linker- en het rechterkamer, onderin het hart. Het hart ligt in de borstholte tussen de 2 longen in. Het ligt iets meer aan de linkerkant van het borstbeen. Het hart van een volwassene is ongeveer 2 vuisten groot en weegt ongeveer 300 gram.. Extra volume belast namelijk het hart. De rechterkant van het hart moet harder werken en wordt hierdoor groter. Een atriumseptumdefect veroorzaakt meestal niet meteen klachten; het kan daardoor vele jaren duren voor het gaatje wordt ontdekt. Een ASD leidt meestal tot klachten: kortademigheid; hartritmestoornissen (op jongvolwassen leeftijd);