メザイクをするときに、目頭だけ食い込まないことってありますよね。二重を作るときに、知っているだけで格段にメザイクのやり方が上達するコツや、メザイクと合わせて使うと効果バツグンなサポートアイテムも紹介させていただきます!. 目頭や目尻の二重にならない場合に定着させるには基本的に2つのアプローチを取るとよく、以下で詳しく解説していきます。 当サイトで解説しているような自力で一重から二重になるための対策を取る. 目頭や目尻の二重が定着しない場合であっても、基本.

【奥二重さん向け】二重テープの貼り方徹底解説!きれいな平行二重が作れるコツ&おすすめ10選 LIPS

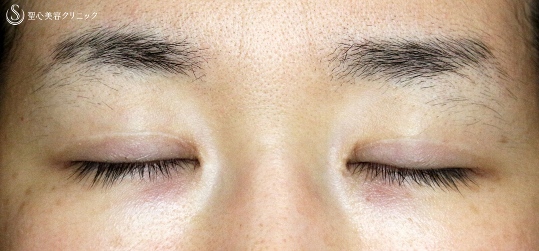
【30代女性・華やかな二重・全切開+αの第一例目】二重全切開+α法&目頭切開(7年後) 症例写真 美容整形、美容外科なら聖心美容クリニック

目頭メイクいらずの理想な目元|症例写真・ビフォーアフター|美容整形・美容外科のTAクリニックグループ

【30代女性・華やかな二重・全切開+αの第一例目】二重全切開+α法&目頭切開(7年後) 症例写真 美容整形、美容外科なら聖心美容クリニック

【30代女性・他院埋没法抜糸&華やかな二重】二重全切開+α法&目頭切開(2ヶ月後)札幌院 症例写真 美容整形、美容外科なら聖心美容クリニック

【30代女性・他院埋没法抜糸&華やかな二重】二重全切開+α法&目頭切開(2ヶ月後)札幌院 症例写真 美容整形、美容外科なら聖心美容クリニック

二重切開法、目頭切開 モニター写真 症例写真|福岡市博多区 牧野美容クリニック

【30代女性・華やかな二重】二重全切開+α法&目頭切開(1年3ヶ月後)札幌院 症例写真 美容整形、美容外科なら聖心美容クリニック

【30代女性・他院埋没法抜糸&華やかな二重】二重全切開+α法&目頭切開(2ヶ月後)札幌院 症例写真 美容整形、美容外科なら聖心美容クリニック
湘南美容外科 柏院さんのインスタグラム写真 (湘南美容外科 柏院Instagram)「repost sbc_koike ・・・ 【顔出しモニター】 ・全切開法二重 97,550円

【20代女性・華やかな二重】全切開+目頭切開(1ヶ月後) 症例写真 美容整形、美容外科なら聖心美容クリニック

目頭切開 (目・二重整形の症例写真・画像) 秋葉原美容クリニック (CS59986)《美容医療の口コミ広場》

【30代女性・他院埋没法抜糸&華やかな二重】二重全切開+α法&目頭切開(2ヶ月後)札幌院 症例写真 美容整形、美容外科なら聖心美容クリニック

目頭切開法 二重・目元の整形なら水の森美容クリニック【公式】総合サイト

重い一重まぶたを平行二重に 『眼瞼下垂+二重全切開+目頭切開』1ヶ月後 湘南美容クリニック技術統括医長 片岡二郎 blog

【30代女性・華やかな二重・全切開+αの第一例目】二重全切開+α法&目頭切開(7年後) 症例写真 美容整形、美容外科なら聖心美容クリニック

二 重 食い込ま せる 方法

目つきの悪さも改善!二重埋没法+目頭切開で垢抜けたお目元に|症例写真・ビフォーアフター|美容整形・美容外科のTAクリニックグループ

【末広二重に似合うアイメイク】5分で出来るマル秘テクニック『プロ直伝』 異性目線でのモテるヘアメイク【パトリック大阪】

平行二重で誰もが憧れる「モテる目元」|症例写真・ビフォーアフター|美容整形・美容外科のTAクリニックグループ
二重食い込み修正両側術後閉瞼. 二重食い込み修正両側術後下方視. 二重食い込み修正両側術後開瞼 二重ラインの食い込みの改善は明らかですね。 左目は手術後4ヶ月が経過していますが、右目が術後2ヶ月過ぎの状態ですのでまだ赤みが目立ちますが、術後1年ぐらいかけてほぼ目立たなくなる.. 二重切開、食い込みがないのですが失敗でしょうか?. 目・二重整形 二重切開法. かん 20代 女性. 4日前に二重切開をしました。. 目が開いている状態でも縫い目がまるみえでくいこまれません。. ただ縫ってるだけという感じです。. 普通術後はくいこみが.